ترک دندان یعنی شکستگی یا شکاف در بافت سخت دندان که میتواند بهمرور بدتر شود. اگر زود درمان شود، دندان قابل نجات است. در ادامه روشهای تشخیص و درمان حرفهای آن را بررسی میکنیم. از بررسی اولیه تا درمان کامل، در این مطلب یاد میگیرید چطور ترک خوردگی مینای دندان را پیش از گسترش متوقف کنید. درمانهایی مثل پرکردن رزینی یا روت کانال برای حفظ سلامت دندان توضیح داده شده است. برای دیدن جزئیات و دریافت راهکارهای پیشگیری، ادامه توضیحات را در سایت دندانپزشکی زینتی مطالعه کنید.
ترک دندان چیست و چرا اتفاق میافتد؟
ترک خوردن دندان یکی از مشکلهای رایج در دهان و دندان است که در هر سنی ممکن است دیده شود. این مشکل زمانی پیش میآید که قسمت سخت دندان دچار شکافهای ریز یا شکستگیهای عمیق میشود. گاهی این شکافها فقط در مینای دندان دیده میشوند و دردی ندارند، اما اگر تا ریشه برسند، میتوانند باعث درد و ناراحتی زیادی شوند.
در بسیاری از موارد، برای زیباتر کردن دندان آسیبدیده از روشهای ترمیمی مثل کامپوزیت ونیر استفاده میشود. هزینه عصب کشی بسته به میزان آسیب، جنس مواد و تجربه دندانپزشک متفاوت است اما معمولا یکی از روشهای موثر برای پنهان کردن ترکهای جزئی محسوب میشود.
ساختار دندان و تاثیر آن بر ایجاد ترکها
هر دندان سه بخش اصلی دارد: مینای دندان، عاج و پالپ. مینای دندان که لایه سخت بیرونی است، نخستین دیواره محافظ دندان بهشمار میآید. اگر ترک خوردگی مینای دندان رخ دهد، لایه زیرین یعنی عاج در برابر سرما و گرما آسیبپذیر میشود. عاج نرمتر از مینا است و فشار زیاد به آن بهراحتی باعث شکستگی میشود.
دلایل شایع ترک دندان در افراد بزرگسال و جوان
علت ترک دندان در سنهای مختلف فرق دارد. در بزرگسالان، رایجترین دلیل، دندانقروچه ناشی از استرس است که به مرور، مینای دندان را ضعیف و شکننده میکند. در افراد جوانتر، معمولا ضربههای فیزیکی مانند افتادن، تصادف یا آسیب هنگام ورزش باعث این ترکها میشود.
عادتهایی مثل جویدن یخ یا آجیلهای خیلی سفت هم از دلایل دیگر هستند. همینطور وقتی بلافاصله بعد از خوردن غذای داغ یک نوشیدنی سرد میخوریم، تغییر شدید دما میتواند باعث منبسط و منقبض شدن ناگهانی مینا و ایجاد ترک شود.
علائم ترک دندان و تشخیص آن در مراحل اولیه
ترک خوردگی دندان در ابتدا شاید هیچ نشانهای نداشته باشد اما با گذشت زمان، علائم آشکاری نشان میدهد. بیشتر افراد وقتی غذا میجوند یا چیزی را میگزند، احساس درد ناگهانی دارند. اگر این درد گهگاه تکرار شود، بهتر است نادیده گرفته نشود، چون ممکن است نشانه شروع ترک در دندان باشد.
علائم رایجی که باید به آنها توجه کنید عبارتند از:
- درد تیز هنگام گاز زدن یا جویدن غذا
- حساسیت دندان به گرما، سرما یا شیرینی
- تورم یا قرمزی لثه اطراف دندان
- دیدن خطوط نازک و مویی روی سطح دندان در آینه
روشهای تخصصی تشخیص ترک دندان در کلینیکهای دندانپزشکی در شمال تهران
شکافهای ریز در دندان با چشم معمولی دیده نمیشوند، بنابراین دندانپزشکی در شمال تهران برای تشخیص آنها از ابزارهای مخصوص استفاده میکند. روشهای مرسوم در کلینیکها شامل موارد زیر است:
- استفاده از نور مخصوص یا دستگاه Transillumination برای دیدن ترکهای ظریف
- بهکار بردن ماده رنگی روی سطح دندان برای مشخص شدن محل شکاف
- تصویربرداری با اشعه ایکس (X-ray) یا دستگاه Cone Beam CT برای تشخیص عمق ترک و هر نوع التهاب احتمالی
انواع ترک دندان و تفاوت آنها با شکستگی کامل
ترک های دندان در هر فرد میتواند اندازه و شدت متفاوتی داشته باشد. بعضی از ترکها سطحی هستند و آسیبی به بافت درونی نمیزنند، اما بعضی دیگر به ریشه میرسند و نیاز به درمان فوری دارند. پنج نوع اصلی ترک خوردن دندان شامل موارد زیر است:
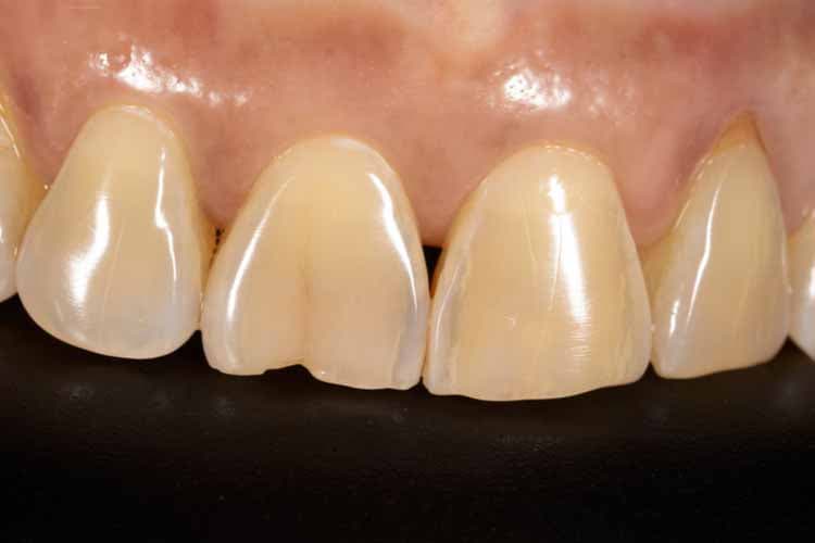
- Craze lines یا ترکهای سطحی که فقط در مینای دندان دیده میشوند و معمولا دردی ندارند.
- Fractured cusp که اطراف پرشدگیهای قدیمی ایجاد میشود.
- Cracked tooth که از تاج تا نزدیک لثه امتداد دارد و هنگام جویدن درد ایجاد میکند.
- Split tooth که باعث دو تکه شدن دندان میشود و بیشتر اوقات نیاز به درمانریشه یا کشیدن دارد.
- Vertical root fracture که از پایین ریشه به سمت بالا حرکت میکند و معمولا موجب التهاب یا عفونت لثه میشود.
روشهای درمان ترک دندان در دندانپزشکی مدرن
درمان ترک دندان به محل و عمق آسیب بستگی دارد. در بعضی موارد میتوان شکاف را با رزین پر کرد، ولی در موارد پیشرفتهتر باید از درمانهای ریشه یا حتی ایمپلنت استفاده کرد. روشهای اصلی درمان شامل موارد زیر است:
- استفاده از رزین مخصوص در باندینگ یا پرکردن برای ترکهای سطحی
- انجام درمان ریشه (Root canal therapy) برای آسیبهای عمیقتر
- قرار دادن روکش دندانی (Dental crown) برای برگرداندن استحکام و شکل طبیعی دندان
- کشیدن و جایگزینی دندان با ایمپلنت (Dental implant) در صورت آسیب زیاد
درمانهای حفاظتی مانند Bonding و Filling در ترکهای سطحی
در ترکهای کوچک، سادهترین روش درمان استفاده از باندینگ یا پرکردن با رزین است. در این روش، مادهای همرنگ دندان داخل شکاف قرار داده میشود تا از گسترش آن جلوگیری کند. این کار باعث کاهش فشار هنگام جویدن و بازگرداندن ظاهر طبیعی دندان میشود.
درمانهای پیشرفته مانند Root canal therapy و روکش دندانی
وقتی ترک تا پالپ برسد، درمان ریشه انجام میشود. در این روش، عصب و بخش آسیبدیده برداشته میشود، سپس فضای داخل دندان تمیز و پر میشود و در آخر روکش برای محافظت روی آن قرار میگیرد. بهعنوان مثال، بیماری که ترک شدیدی در دندان خود داشت، پس از درمان ریشه و استفاده از روکش سرامیکی توانست بدون درد و راحت غذا بخورد. این مورد نشان میدهد درمان بهموقع میتواند دندان را از کشیده شدن نجات دهد.
استخراج و جایگزینی دندانهای غیرقابل ترمیم با ایمپلنت
گاهی ترک تا پایین لثه امتداد مییابد و دندان دیگر قابل ترمیم نیست. در این موارد، بهترین گزینه کشیدن و جایگزینی آن با ایمپلنت است. در این روش، پایه فلزی در استخوان فک گذاشته میشود و بعد از مدتی تاج مصنوعی روی آن قرار میگیرد. این دندان جدید درست مثل دندان طبیعی کار میکند. بسیاری از بیماران گفتهاند پس از انجام ایمپلنت، دوباره احساس راحتی هنگام غذا خوردن و لبخند زدن را تجربه کردهاند. این تجربه نشان میدهد درمان درست میتواند کیفیت زندگی را بالا ببرد.
پیشگیری از ترک دندان و مراقبتهای بعد از درمان
رعایت چند عادت ساده میتواند از ترک دوبارهی دندان جلوگیری کند. برای مثال، اگر از جویدن یخ یا آجیل سفت لذت میبرید، یادتان باشد دندانپزشکتان از شما بیشتر نگران دندانهای شما است! برای مراقبت بهتر میتوانید این کارها را انجام دهید:
- نجویدن مواد خیلی سفت مثل یخ و آبنباتهای سخت
- استفاده از محافظ دهان هنگام ورزش
- مراجعه منظم به دندانپزشک برای بررسی ترک خوردگی مینای دندان
- مسواک و نخدندان روزانه برای حفظ سلامت مینای دندان
- پرهیز از ضربههای شدید و مراقبت روزانه کمک میکند دندان سالم بماند و لبخند همیشه زیبا باشد.
جمع بندی
ترک دندان گاهی بدون درد است اما به مرور باعث آسیب جدی میشود. در این مقاله دلایل، انواع و نشانههای آن را خواندیم. عواملی مثل افزایش سن، فشار زیاد هنگام غذا خوردن، تصادف یا پرکردگیهای بزرگ از عوامل اصلی هستند. اگر زود به دندانپزشک مراجعه شود، میتوان دندان را حفظ کرد.
این مطلب صرفا جنبه تبلیغاتی داشته و فوت و فن هیچ مسئولیتی را در رابطه با آن نمیپذیرد


