چهارشنبه, ۶ اسفند ۱۴۰۴
  • EN
  • تبلیغات
  • تماس با ما
  • درباره ما
فوت و فن
  • دانش و فن
    • موبایل و تبلت
    • هوش مصنوعی
    • اپراتورها و وب
    • برنامه و نرم افزار
    • دنیای بازی
    • گوناگون
      • تلویزیون
      • سخت افزار
  • اقتصاد
    • اقتصاد بین الملل
    • بازارها
    • بانکداری و تجارت الکترونیک
    • خودرو
    • وبگردی
    • رپورتاژ
  • ورزش
    • فوتبال
    • موتوری
  • سبک زندگی
    • سلامت
    • تغذیه
    • طبیعت
    • حیوانات
    • آشپزی
    • خلاقیت
  • گردشگری
    • گردشگری
  • فرهنگ و هنر
    • فیلم و سریال
    • کتاب و مجله
    • آثار باستانی
    • صنایع دستی
  • چند رسانه‌ای
    • عکس
    • ویدیو
    • خودمونی
    • همیاری
سلامت

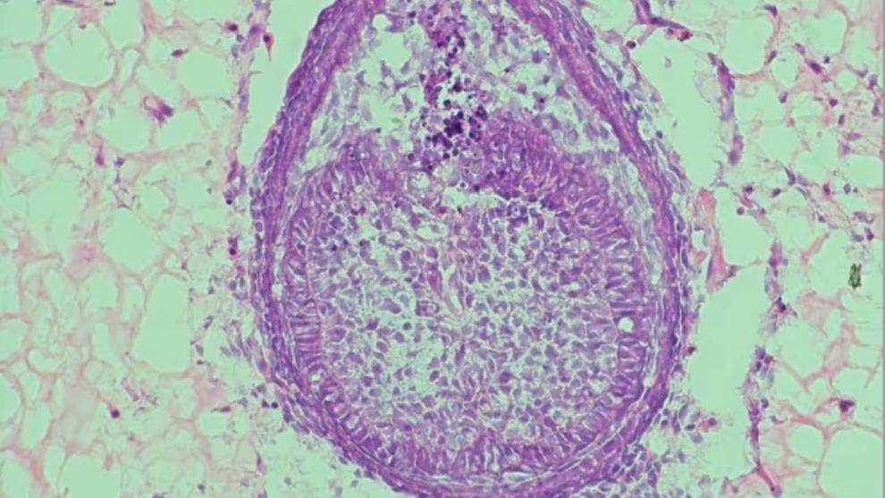
رشد دندان واقعی از سلول‌های انسان در آزمایشگاه

سمیرا 5 آبان 1404
A+A-
Reset
رشد دندان انسان
29

CNN International گزارش داد که پژوهشگران دانشگاه کینگز کالج لندن (King’s College London) گام بزرگی در مسیر تولید دندان‌های زیستی از سلول‌های انسان برداشته‌اند. این پیشرفت می‌تواند آینده‌ای را رقم بزند که در آن بیماران به‌جای کاشت ایمپلنت‌های فلزی، دندان‌های واقعی خود را دوباره رشد دهند.

پایان دوران ایمپلنت‌های تیتانیومی؟

برای بسیاری از افراد، نشستن روی صندلی دندان‌پزشکی هنوز تجربه‌ای پراسترس است. جایگزینی یک دندان از دست‌رفته با ایمپلنت معمولاً نیازمند کاشت پیچ تیتانیومی در استخوان فک و گذراندن ماه‌ها دوره ترمیم است. اما به گزارش CNN، تیم‌های تحقیقاتی در سراسر جهان در تلاش‌اند تا روشی برای بازسازی طبیعی دندان‌ها در دهان انسان پیدا کنند.

دو دهه تلاش برای دندان‌های زیستی

دکتر آنا آنجلوا ولپونی (Ana Angelova Volponi) از کینگز کالج لندن، نزدیک به بیست سال است که روی رشد دندان‌ها در محیط آزمایشگاهی کار می‌کند. او در سال ۲۰۱۳ عضوی از تیمی بود که موفق شد از ترکیب سلول‌های انسان و موش، دندانی واقعی رشد دهد.

در تازه‌ترین پژوهش، ولپونی موفق شده است ماده‌ای بسازد که شرایط رشد دندان در آزمایشگاه را به محیط زیستی واقعی دهان نزدیک‌تر کند. این دستاورد، گامی مهم به‌سوی جایگزینی سلول‌های موش با سلول‌های انسانی در تولید دندان‌های آزمایشگاهی به‌شمار می‌آید.

اولین گام‌ها: از سلول‌های لثه تا دندان کامل

به گفته ولپونی، ایده رشد دندان در محیط مصنوعی به دهه ۱۹۸۰ برمی‌گردد. در پژوهش سال ۲۰۱۳، او و تیمش نخستین بار سلول‌های لثه بزرگسال انسان را با سلول‌های پیش‌ساز دندان از جنین موش ترکیب کردند تا جوانه‌ای از دندان بسازند.

«این فرایند مثل سه‌پایه‌ای است که بر دو نوع سلول تکیه دارد. سلول‌ها باید با هم گفت‌وگو کنند تا دندان شکل بگیرد.» — دکتر ولپونی

نقش «داربست» یا Scaffold در رشد دندان

این محیط رشد که با عنوان «اسکفلد» (Scaffold) شناخته می‌شود، در شکل‌گیری دندان نقشی حیاتی دارد. تمرکز پژوهش اخیر ولپونی نیز بر توسعه همین ساختار بوده است. در حالی‌که نسخه ۲۰۱۳ از کلاژن ساخته شده بود، نسخه جدید از هیدروژل استفاده می‌کند؛ ماده‌ای پلیمری با درصد بالای آب که محیطی طبیعی‌تر برای رشد سلول‌ها فراهم می‌آورد.

چگونه دندان در آزمایشگاه رشد می‌کند؟

Xuechen Zhang، دانشجوی دکترا و همکار این پروژه، فرایند را این‌گونه توضیح می‌دهد:

«سلول‌های جنین موش را جمع‌آوری می‌کنیم، با هم ترکیب می‌نماییم و توده‌ای کوچک از سلول‌ها (Pellet) می‌سازیم. سپس آن را داخل هیدروژل تزریق کرده و حدود هشت روز رشد می‌دهیم.»

گامی نزدیک‌تر به استفاده از سلول‌های انسان

ولپونی می‌گوید هنوز موانع زیادی برای استفاده از دندان‌های پرورش‌یافته در بدن انسان وجود دارد. بااین‌حال، ماده جدید می‌تواند تعامل میان سلول‌ها را بهبود بخشد و راه را برای جایگزینی سلول‌های موش با سلول‌های انسان هموار کند.

به‌گفته او، هنوز مشخص نیست چگونه می‌توان به‌جای سلول‌های جنینی، از سلول‌های بزرگسال انسانی استفاده کرد. اما اگر این چالش برطرف شود، دو مسیر اصلی برای رشد دندان‌های واقعی در پیش است:

چرا دندان‌های زیستی بهتر از ایمپلنت‌ها هستند؟

  • سازگاری کامل با بدن: دندان‌های رشد‌یافته از سلول‌های خود فرد با بافت دهان هماهنگی کامل دارند.
  • بدون خطر عفونت یا پس‌زدگی: چون منشاء سلولی خود بیمار است، احتمال رد یا التهاب کاهش می‌یابد.
  • احساس طبیعی: برخلاف ایمپلنت‌های فلزی، دندان‌های زیستی حس واقعی و عملکرد طبیعی خواهند داشت.
  • ارگانیک و زنده: به‌جای جسمی بی‌جان در فک، ساختاری زنده و واکنش‌پذیر ایجاد می‌شود.

رقابت جهانی در بازسازی دندان

در سراسر جهان، گروه‌های پژوهشی مختلف در حال پیشرفت در این زمینه هستند. برای نمونه:

  • ژاپن – مؤسسه تحقیقات پزشکی بیمارستان کیتانو (Osaka): تیمی به رهبری Katsu Takahashi درمانی مبتنی بر آنتی‌بادی توسعه داده که می‌تواند رشد دندان را در بیماران بدون دندان تحریک کند. این روش وارد فاز آزمایش‌های بالینی انسانی شده و احتمالاً ظرف ده سال آینده به‌کار گرفته خواهد شد.
  • ایالات متحده – دانشگاه تافتس (Tufts University): تیم پاملا یلیک (Pamela Yelick) در سال ۲۰۲۴ موفق شد دندان‌هایی با ترکیب سلول‌های انسان و خوک در بدن خوک رشد دهد. هدف نهایی، تکرار این فرایند با سلول‌های کاملاً انسانی در فک انسان است.
  • دانشگاه واشینگتن: گروهی به رهبری پروفسور هانله روهولا-بیکر (Hannele Ruohola-Baker) توانسته از سلول‌های بنیادی استخراج‌شده از دندان‌های عقل اهدایی، سلول‌های بنیادی پالپ دندان انسان را تولید کند.

«هرچند ورود به مرحله درمان‌های بالینی زمان‌بر خواهد بود، اما سرعت پیشرفت‌ها در حال افزایش است. در دهه آینده ممکن است ترمیم یا تعویض دندان‌های زیستی به واقعیت تبدیل شود.» — پروفسور روهولا-بیکر

جمع‌بندی: آینده دندان‌پزشکی در دستان زیست‌فناوری

دستیابی به رشد دندان‌های واقعی از سلول‌های انسان، افقی نو در دندان‌پزشکی باز می‌کند. اگر چالش‌های فنی برطرف شود، ایمپلنت‌های تیتانیومی احتمالاً به تاریخ خواهند پیوست و بیماران می‌توانند دندان‌های طبیعی خود را دوباره بازسازی کنند — درست همان‌گونه که بدن، پوست یا استخوان را ترمیم می‌کند.

بازسازی دنداندنداندندان زیستیدندان‌پزشکی آیندهرشد دندان انسانسلول‌های بنیادی دندانکینگز کالج لندن
0 نظر FacebookTwitterPinterestLinkedinTumblrVKRedditEmail
سمیرا

سلام، در مجله اینترنتی فوت و فن درباره سلامت و تغذیه مطالب تهیه و ترجمه می‌کنم. من اطلاعات دقیق و به‌روز را از منابع معتبر برای شما جمع‌آوری و آن‌ها را به زبان فارسی ترجمه می‌کنم. اگر به این مطالب علاقه‌مند بودید من مشتاقانه منتظر پیام‌هاتون هستم.

مطلب قبلی
خیلی‌ها هنوز نمی‌دونن هر هفته تو تهران یه همایش آموزشی رایگان برگزار می‌شه!!
مطلب بعدی
چگونه مغز خفاش‌ها جهان را مثل GPS درک می‌کند

شما هم نظر دهید Cancel Reply

برای دفعه بعد که نظر می‌دهم نام و ایمیل من را در این مرورگر ذخیره کنید.

* با استفاده از این فرم، با ذخیره و مدیریت داده‌های خود توسط این وب سایت موافقت می‌کنم.

بنر بلوبانک

مطالب مرتبط

  • ترک دندان چیست؟ علل، انواع، علائم و راه...

    11 آذر 1404
  • کشف دندان‌های غیرمعمول روی پیشانی ماهی موشی خالدار؛...

    18 شهریور 1404
  • رشد دندان جدید در انسان برای اولین‌بار

    1 خرداد 1404
  • سلامت دندان و مغز: یک ارتباط جدید

    6 مهر 1402
  • مسواک نزدن در شب خطر بیماری قلبی عروقی...

    15 تیر 1402
  • آیا ایمپلنت مادام العمر است؟

    12 تیر 1402
  • ایمپلنت دندان و هایفوتراپی

    24 آذر 1401
  • آشنایی با مهم‌ترین اصطلاحات ارتودنسی

    8 خرداد 1401
  • کشف زودهنگام پوسیدگی دندان با فناوری جدید دندانپزشکی

    4 فروردین 1401
  • بهترین نوع ایمپلنت دندان

    22 اسفند 1400
  • حقایق عجیب بلیچینگ دندان به نقل از دکتر...

    15 آذر 1400
  • آیا برای ارتودنسی باید دندان عقل را کشید؟

    26 مهر 1400
  • اطلاعات جامع و کامل در مورد کامپوزیت و...

    9 شهریور 1400

درباره فوت و فن

درباره فوت و فن

با ما تجربه‌ای جذاب از دنیای اطراف را داشته باشید.

در «فوت و فن»، ما به دنبال راه‌های ساده و کاربردی برای بهبود زندگی هستیم. واژهٔ «فن» در فارسی به معنای «شگرد» و «ترفند» است. ما تلاش می‌کنیم این ترفندها را در زندگی روزمره خود به کار ببریم و مطالبی شگفت‌انگیز و مفید را با شما به اشتراک بگذاریم. هدف ما این است که با به اشتراک گذاشتن تجربیات و آموخته‌های خود، به شما کمک کنیم تا روش‌های جدید و ایده‌های تازه‌ای را در زندگی خود بکار ببرید. با ما همراه باشید تا زندگی را با کمک «فوت و فن»، به یک تجربهٔ خلاقانه و لذت‌بخش تبدیل کنیم.

لینک‌های مفید

تماس با ما

 

تبلیغات در فوت و فن

 

درباره ما

Facebook Twitter Instagram Linkedin Tumblr Youtube Email

حامیان

2010-2026@ - All Right Reserved. Designed and Developed by FOOTOFAN

فوت و فن
  • دانش و فن
    • موبایل و تبلت
    • هوش مصنوعی
    • اپراتورها و وب
    • برنامه و نرم افزار
    • دنیای بازی
    • گوناگون
      • سخت افزار
      • تلویزیون
  • اقتصاد
    • اقتصاد بین الملل
    • بازارها
    • بانکداری و تجارت الکترونیک
    • خودرو
    • وبگردی
    • رپورتاژ
  • ورزش
    • فوتبال
    • موتوری
    • تنیس
  • سبک زندگی
    • سلامت
    • تغذیه
    • طبیعت
    • حیوانات
    • خلاقیت
    • آشپزی
  • گردشگری
    • گردشگری
  • فرهنگ و هنر
    • فیلم و سریال
    • کتاب و مجله
    • آثار باستانی
    • صنایع دستی
  • چند رسانه‌ای
    • عکس
    • ویدیو
    • خودمونی
    • همیاری
  • English